-
노화 세포 백신이 암에 대한 면역 반응을 일으킬 수 있다.과학 잡지/생물 2022. 11. 6. 12:00728x90반응형
세포 노화는 타고난 면역 세포를 활성화하는 스트레스 반응이지만 적응 면역 시스템과의 상호 작용에 대해서는 알려진 바가 거의 없습니다. 노화 세포는 결국 증식을 멈추지만 죽어야 할 때 죽지 않는다는 점에서 독특합니다. 그러나 모든 노화 세포가 나쁜 것은 아닙니다.
현재 ICREA 연구원인 Manuel Serrano 박사가 이끄는 IRB Barcelona의 과학자와 현재 Karolinska Institute의 Federico Pietrocola 박사가 이끄는 과학자들은 암세포에서 노화를 유도하는 것이 어떻게 면역 반응의 효과를 죽은 암보다 더 크게 향상하는지 연구했습니다.
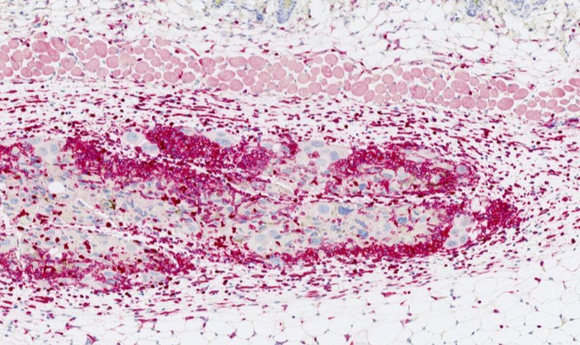
Immune cell infiltrate (in deep red) around senescent cancer cells (large nuclei marked in blue). Credit: IRB Barcelona
1. 노화 세포의 역할
노화 세포에 의해 발현되는 분자 및 화합물은 배아 발달, 출산 및 상처 치유를 포함하여 일생에 걸쳐 중요한 역할을 합니다.
'세포 노화는 면역원성이며 항종양 면역을 촉진한다.'는 연구 결과가 Cancer Discovery 저널에 게재되었습니다 .
"여기서 우리는 노화 세포가 수지상 세포(DC)와 항원 특이적 CD8 T 세포를 활성화하는 데 매우 효율적으로 만드는 몇 가지 특징을 결합한다는 것을 보여줍니다."라고 연구원들은 말했습니다. "여기에는 알람민의 방출, 인터페론 신호의 활성화, 향상된 MHC 클래스 I 기계, CD8 T 세포를 활성화할 수 있는 노화 특이적 자가 펩타이드의 제시가 포함됩니다."
"우리의 결과는 노화 세포가 암에 대한 면역 체계를 자극할 때 선호되는 옵션임을 나타내며 가능한 치료법으로 이러한 세포를 사용한 백신 접종을 고려하는 길을 열어줍니다."라고 세포 가소성 및 IRB 바르셀로나의 질병 연구소에서 발표했습니다.
2. 실험 과정 및 결과
연구원들은 면역 체계의 높은 활성화를 특징으로 하는 암 유형인 흑색종의 동물 모델과 면역 세포에 대한 강력한 장벽을 나타내는 췌장암 모델에서 이 기술을 테스트했습니다.
연구자들은 현재 노화 세포와 면역 요법 치료와 함께 백신 접종의 복합 효능을 연구하고 있습니다.
“우리 연구는 종양 세포에서 노화를 유도하면 면역 체계에 의한 이러한 세포의 인식이 향상되고 그들이 생성하는 반응의 강도도 증가한다는 결론을 내렸습니다. 따라서 우리의 발견은 매우 긍정적입니다.”라고 같은 연구실의 박사 과정 학생이자 연구의 제1 저자인 Inés Marín이 설명했습니다.
3. 노화와 면역 체계 활성화 능력
노화는 손상되거나 노화된 세포가 재생산되지는 않지만 사라지지 않는 잠복기 상태입니다. 노화 세포는 정보 신호를 환경으로 방출하여 존재를 경고하여 염증 반응과 조직 재생을 자극합니다.
암과 관련하여 Serrano 박사가 이끄는 연구원들은 노화 세포가 그 특성으로 인해 면역 체계를 활성화하고 종양에 대한 반응을 개선하는 좋은 옵션이라는 것을 발견했습니다. 한편 노화세포는 살아있는 세포이기 때문에 죽은 세포보다 체내에 더 오래 남아 면역체계를 더 오래 자극할 수 있습니다. 반면에 이 세포는 분열하지 않기 때문에 종양을 재생할 수 없습니다.
4. Scott W. Low 박사와 Direna Alonso-Curbelo 박사의 평행 발견
세포 가소성 및 질병 연구소 의 발견은 뉴욕의 메모리얼 슬론 케터링 암 센터(Memorial Sloan Kettering Cancer Center, MSKCC)가 주도하고 IRB 바르셀로나와 공동으로 완성한 또 다른 논문과 동시에 동일한 저널에 게재되었습니다. 현재 IRB Barcelona의 염증, 조직 가소성 및 암 연구소 소장인 Dr. Direna Alonso-Curbello 와 Dr. Scott W. Lowe가 저술한 후자는 매우 사용하여 주제를 연구했음에도 불구하고 보완적인 결론에 도달합니다.
요컨대, MSKCC에서 시작된 연구는 종양 세포의 노화 유도가 종양과 면역계 사이의 통신을 매개하는 분자 프로그램을 어떻게 변경하는지 설명하는 데 초점을 맞췄습니다. “지금까지 대부분의 연구는 노화 세포가 염증 신호를 환경으로 '보내는' 능력에 초점을 맞추었습니다. 우리의 연구는 이러한 의사소통이 양방향임을 보여주며, 노화가 세포독성 T 세포에 의한 인지 및 파괴를 위한 주요 경로를 활성화하는 신호를 '수신'하는 세포의 능력을 증가시킨다는 것을 보여줍니다."라고 Dr. Alonso-Curbelo 는 설명합니다.
이 연구는 노화 유도에 의해 증가되는 환경으로부터 신호를 '수신'하는 능력이 인터페론과 같은 신호의 항종양 효과를 증폭시켜 종양 세포를 면역계에 더 잘 보이게 하고 항종양을 재활성화한다는 것을 보여줍니다.
노화와 관련된 다른 질병 및 동맥경화증과 같은 노화 세포가 널리 퍼져 있는 질병도 노화 세포를 이용한 백신의 혜택을 받을 수 있습니다. 이와 관련하여 IRB Barcelona의 과학자들도 노화 세포가 면역 세포에 의해 마치 외래 세포인 것처럼 잘못 인식될 수 있다고 보고합니다. 이러한 발견은 외부 세포로 오인될 수 있는 스트레스를 받는 세포에 대해 연구하는 다른 연구자들이 보고한 것과 일치합니다.
Reference: Marin I, Boix O, Garcia-Garijo A, et al. Cellular senescence is immunogenic and promotes anti-tumor immunity. Cancer Discov. 2022:CD-22-0523. doi: 10.1158/2159-8290.CD-22-0523728x90반응형'과학 잡지 > 생물' 카테고리의 다른 글
혼수 상태 유도, 인간 동면의 가능성과 영향 (1) 2023.06.12 화석이 장기간에 걸친 진화 패턴에 대한 이해에 도움을 주다 (0) 2023.05.04 시간을 알 수 있는 곤충(콩벌레) 생체시계 유전자 (0) 2022.09.11 장내 기생충 역사를 밝히는 바이킹 똥 (1) 2022.09.08 생물이 노화로 죽는 이유? 돌연변이 때문? (0) 2022.04.16